[Vietnam News]

View - Tức nặng ngực không ngờ u trung thất đè ép tim, phổi | Báo Tri thức và Cuộc sống - TIN TỨC PHỔ BIẾN KIẾN THỨC 24H

2025-06-12 09:01:46

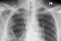
Tức nặng ngực không ngờ u trung thất đè ép tim, phổi | Báo Tri thức và Cuộc sống - TIN TỨC PHỔ BIẾN KIẾN THỨC 24HU trung thất thường tiến triển một cách âm thầm, lặng lẽ nên khó phát hiện sớm. Khi xuất hiện triệu chứng u đã chèn ép tim, phổi, mạch máu lớn hoặc di căn... u trung thất,khối u,Tức nặng ngực,u trung thất khổng lồ,tim,phổi

Tang Mộc